COVID-19 mutations are rapidly appearing as US surpasses 400,000 deaths
The race against the virus that causes COVID-19 has taken a new turn: Mutations are rapidly popping up, and the longer it takes to vaccinate people, the more likely it is that a variant that can elude current tests, treatments and vaccines could emerge.
The race against the virus that causes COVID-19 has taken a new turn: Mutations are rapidly popping up, and the longer it takes to vaccinate people, the more likely it is that a variant that can elude current tests, treatments and vaccines could emerge.
Denton County seeing downward trend in COVID-19 hospitalizations
For the first time in almost a month, there is promising news on the COVID-19 outlook in Denton County.
For the first time in almost a month, there is promising news on the COVID-19 outlook in Denton County.
4,400 doses of Moderna COVID-19 vaccine spoiled en route to Maine due to inadequate refrigeration
Maine health authorities set aside a batch of Moderna’s COVID-19 vaccine after discovering the 4,400 doses weren’t kept at the required temperature.
Maine health authorities set aside a batch of Moderna’s COVID-19 vaccine after discovering the 4,400 doses weren’t kept at the required temperature.
Dallas skyline goes amber to honor COVID-19 victims
Across Dallas, there were tributes to remember the more than 1,800 lives lost in the county and tens of thousands more around the state.
Across Dallas, there were tributes to remember the more than 1,800 lives lost in the county and tens of thousands more around the state.
Texas expects largest shipment yet of COVID-19 vaccine
Gov. Greg Abbott says there are now 78 COVID-19 vaccination hubs up and operating across the state. That number is expected to grow before the end of the week.
Gov. Greg Abbott says there are now 78 COVID-19 vaccination hubs up and operating across the state. That number is expected to grow before the end of the week.
COVID phishing scams on the rise as more people look for vaccinations
There have been COVID scams usually related to fake charities or fake cures. Now, a very real vaccine has become the focus of fraudsters. Here’s what you need to know.
There have been COVID scams usually related to fake charities or fake cures. Now, a very real vaccine has become the focus of fraudsters. Here’s what you need to know.
Dallas County COVID-19 vaccine mega site to focus on ages 75-plus this week
After administering 12,000 shots last week, Dallas County has about 6,000 doses remaining for this week.
After administering 12,000 shots last week, Dallas County has about 6,000 doses remaining for this week.
Biden, Harris honor COVID-19 victims at Lincoln Memorial on eve of Inauguration Day 2021
President-elect Joe Biden and Vice President-elect Kamala Harris kicked off inaugural events in Washington, D.C. on Tuesday with a lighting ceremony to honor the more than 400,000 Americans killed by the coronavirus.
President-elect Joe Biden and Vice President-elect Kamala Harris kicked off inaugural events in Washington, D.C. on Tuesday with a lighting ceremony to honor the more than 400,000 Americans killed by the coronavirus.
Tarrant County teams up with UNT Health Science Center to distribute more vaccine
In a major step to expand access, Tarrant County commissioners unanimously approve hiring the UNT Health Science Center to fast track a comprehensive vaccine rollout plan.
In a major step to expand access, Tarrant County commissioners unanimously approve hiring the UNT Health Science Center to fast track a comprehensive vaccine rollout plan.
US surpasses 400,000 COVID-19 deaths, more than any other country in the world
The United States reached a grim milestone Tuesday when reported COVID-19 deaths from Johns Hopkins University surpassed 400,000 - a death toll far greater than any other country in the world.
The United States reached a grim milestone Tuesday when reported COVID-19 deaths from Johns Hopkins University surpassed 400,000 - a death toll far greater than any other country in the world.
Garland to open drive-thru COVID-19 vaccine hub this week
The hub at the Homer Johnson Stadium in Garland will be a drive-thru site for people in the 1A and 1B priority groups. It opens Thursday.
The hub at the Homer Johnson Stadium in Garland will be a drive-thru site for people in the 1A and 1B priority groups. It opens Thursday.
Plano fire chief released from hospital after battling COVID-19
Fire Chief Sam Greif had a tough battle with the virus. At times he struggled to breathe just speaking a few words.
Fire Chief Sam Greif had a tough battle with the virus. At times he struggled to breathe just speaking a few words.
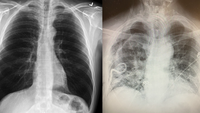
Texas surgeon noticing some post-COVID-19 lungs have more scar tissue than smokers’ lungs
A surgeon in Texas revealed she’s seeing a pattern of lung scarring in some patients who have had COVID-19 that’s worse than what she sees in smokers’ lungs.
A surgeon in Texas revealed she’s seeing a pattern of lung scarring in some patients who have had COVID-19 that’s worse than what she sees in smokers’ lungs.
California becomes first state to top 3 million virus cases
California has become the first state to record more than 3 million known coronavirus infections.
California has become the first state to record more than 3 million known coronavirus infections.
Nearly two-thirds of US states see rising COVID-19 death toll amid winter surge
Coronavirus deaths are rising in nearly two-thirds of American states as a winter surge pushes the overall toll toward 400,000 amid warnings that a new, highly contagious variant is taking hold.
Coronavirus deaths are rising in nearly two-thirds of American states as a winter surge pushes the overall toll toward 400,000 amid warnings that a new, highly contagious variant is taking hold.
Texas-based anti-vaccine group received federal bailout funds in May as pandemic raged
Texas-based anti-vaccine organization Informed Consent Action Network was among five anti-vaccine groups that collectively received more than $850,000 in federal loans from the Paycheck Protection Program.
Texas-based anti-vaccine organization Informed Consent Action Network was among five anti-vaccine groups that collectively received more than $850,000 in federal loans from the Paycheck Protection Program.
“Lives are at stake”: Three Texas regions battered by coronavirus are out of intensive care beds
The Texas Department of State Health Services said in a tweet Friday that the pandemic has never been worse in Texas, and it has never been easier to catch COVID-19 in the state.
The Texas Department of State Health Services said in a tweet Friday that the pandemic has never been worse in Texas, and it has never been easier to catch COVID-19 in the state.
Still no second stimulus check? Here's how to get your money
Some who are still waiting for the money to arrive will need to file a tax return in order to receive the money.
Some who are still waiting for the money to arrive will need to file a tax return in order to receive the money.
North Austin man plants flags as Texan COVID-19 deaths rise above 30K
Shane Reilly has been documenting that number in his front yard by planting flags in his yard for every death in Texas due to COVID-19.
Shane Reilly has been documenting that number in his front yard by planting flags in his yard for every death in Texas due to COVID-19.
More COVID-19 vaccine hub locations added in North Texas and across the state
The Texas Department of State Health Services added nearly 50 more vaccine hub locations across the state.
The Texas Department of State Health Services added nearly 50 more vaccine hub locations across the state.



















