Texas Dems target state's abortion ban following report of Houston woman's miscarriage death
According to the ProPublica report, a 28-year-old woman was in a Houston hospital bed for 40 hours, dilated and with her uterus exposed to bacteria before she delivered her deceased son. Her medical team said they could not act until a fetal heartbeat was no longer detected. She died of sepsis three days later.
According to the ProPublica report, a 28-year-old woman was in a Houston hospital bed for 40 hours, dilated and with her uterus exposed to bacteria before she delivered her deceased son. Her medical team said they could not act until a fetal heartbeat was no longer detected. She died of sepsis three days later.
US infant mortality rate rose after overturning of Roe v. Wade, study finds
U.S. infant mortality increased 7% in the months following the U.S. Supreme Court’s overturning of Roe v. Wade, according to a new study.
U.S. infant mortality increased 7% in the months following the U.S. Supreme Court’s overturning of Roe v. Wade, according to a new study.
Abortion passes inflation as top election issue for women under 30, survey finds
A growing number of women view abortion as their key issue heading into November’s presidential election based on results in a new survey.
A growing number of women view abortion as their key issue heading into November’s presidential election based on results in a new survey.
Supreme Court won't hear arguments in Texas emergency abortion case
Supreme Court justices on Monday decided to keep in place a lower court order stating hospitals cannot be required to provide pregnancy terminations that would violate Texas law.
Supreme Court justices on Monday decided to keep in place a lower court order stating hospitals cannot be required to provide pregnancy terminations that would violate Texas law.
Melania Trump says she supports abortion rights
In a social media post, the former first lady advocates for abortion rights saying in part “Without a doubt, there is no room for compromise when it comes to this essential right that all women possess from birth: individual freedom."
In a social media post, the former first lady advocates for abortion rights saying in part “Without a doubt, there is no room for compromise when it comes to this essential right that all women possess from birth: individual freedom."
Most Hispanic Americans support abortion access, AP-NORC poll finds
Around 6 in 10 Hispanic Protestants and about two-thirds of Hispanic Catholics say abortion should be legal in all or most cases, the new AP-NORC poll found.
Around 6 in 10 Hispanic Protestants and about two-thirds of Hispanic Catholics say abortion should be legal in all or most cases, the new AP-NORC poll found.
Abortion access 2024: Here’s where the laws stand in your state
Here is a look at the state of abortion access in the United States ahead of the November election.
Here is a look at the state of abortion access in the United States ahead of the November election.
Trump repeats false claims on late-term abortions during presidential debate
During the 2024 presidential debate, Donald Trump repeated false claims about late-term abortions, falsely stating that some states allow abortions after birth, despite experts debunking these statements as misinformation.
During the 2024 presidential debate, Donald Trump repeated false claims about late-term abortions, falsely stating that some states allow abortions after birth, despite experts debunking these statements as misinformation.
Survey: 3 in 4 reproductive age women in the US think abortion should be legal
Support for legal abortion has risen since the U.S. Supreme Court eliminated abortion protections provided by Roe v. Wade.
Support for legal abortion has risen since the U.S. Supreme Court eliminated abortion protections provided by Roe v. Wade.
Texas women accuse hospitals of denying necessary care for life-threatening pregnancies
An Arlington hospital is cited in one of two federal complaints filed by Texas women who say they were denied necessary care for their failing pregnancies. Both women say they suffered life-changing injuries as a result.
An Arlington hospital is cited in one of two federal complaints filed by Texas women who say they were denied necessary care for their failing pregnancies. Both women say they suffered life-changing injuries as a result.
Jennifer Aniston slams JD Vance's 'childless cat ladies' comment
Jennifer Aniston is calling out JD Vance for his views regarding women’s bodies and rights.
Jennifer Aniston is calling out JD Vance for his views regarding women’s bodies and rights.
Women who sued Texas over abortion law share stories in Dallas
On Monday, three women who sued the state for the right to get an abortion held a panel discussion at the First Unitarian Church of Dallas.
On Monday, three women who sued the state for the right to get an abortion held a panel discussion at the First Unitarian Church of Dallas.
Supreme Court allowing emergency abortions in Idaho in limited ruling
The Supreme Court has cleared the way for Idaho hospitals to provide emergency abortions for now in a procedural ruling made a day after an opinion was briefly posted on the court's website accidentally and quickly taken down.
The Supreme Court has cleared the way for Idaho hospitals to provide emergency abortions for now in a procedural ruling made a day after an opinion was briefly posted on the court's website accidentally and quickly taken down.
Planned Parenthood announces that it will spend $40 million ahead of November's election
Planned Parenthood is injecting $40 million into the November elections to support President Biden and key Democrats, centering their campaign on abortion rights and targeting critical battleground states.
Planned Parenthood is injecting $40 million into the November elections to support President Biden and key Democrats, centering their campaign on abortion rights and targeting critical battleground states.
Texas medical panel issues new guidelines for doctors but no specific exceptions for abortion ban
A Texas medical panel on Friday approved guidance for doctors working under one of the nation’s most restrictive abortion bans but refused to list specific exceptions to the law, which doctors have complained is dangerously unclear.
A Texas medical panel on Friday approved guidance for doctors working under one of the nation’s most restrictive abortion bans but refused to list specific exceptions to the law, which doctors have complained is dangerously unclear.
Texas Medical Board clarifies abortion exceptions
The Texas Medical Board unanimously approved guidelines for how doctors should interpret exceptions to the state's abortion ban.
The Texas Medical Board unanimously approved guidelines for how doctors should interpret exceptions to the state's abortion ban.
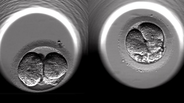
Texas Supreme Court rejects case that could have imperiled IVF access
The Texas Supreme Court has declined to take up a major in vitro fertilization case out of Denton that could have potentially upended access to the procedure.
The Texas Supreme Court has declined to take up a major in vitro fertilization case out of Denton that could have potentially upended access to the procedure.
'Right to IVF Act' blocked by Senate Republicans in latest battle
Senate Republicans blocked the Right to IVF Act, a bill championed by Sen. Tammy Duckworth to establish a nationwide right for women to access IVF and other fertility treatments, with the vote highlighting political differences on reproductive care ahead of the upcoming election.
Senate Republicans blocked the Right to IVF Act, a bill championed by Sen. Tammy Duckworth to establish a nationwide right for women to access IVF and other fertility treatments, with the vote highlighting political differences on reproductive care ahead of the upcoming election.
Dallas woman testifies about leaving Texas for medically-necessary abortion
"This baby isn’t going to make it to birth. I can't help you. You need to leave the state,” Lauren Miller recalled her doctor saying.
"This baby isn’t going to make it to birth. I can't help you. You need to leave the state,” Lauren Miller recalled her doctor saying.
Abortion pill case: Supreme Court rejects limits to mifepristone access
In a unanimous decision, the U.S. Supreme Court has rejected a push to restrict access to mifepristone, a medication used for abortions.
In a unanimous decision, the U.S. Supreme Court has rejected a push to restrict access to mifepristone, a medication used for abortions.



















